
АИСТ
Запись на консультацию

Запись на консультацию
Уровень образования наших экспертов - это гарантия качества и безопасности для каждого пациента.
Мой профессиональный опыт позволяет проводить операции базовой хирургической стоматологии:
– удаление зубов (молочных и постоянных, ретенированных и дистопированных)
– удаление ретенционных кист малых слюнных желёз
– коррекция уздечек языка и верхней губы
Операции в процессе имплантологического лечения:
– установка имплантатов (отсроченно и одномоментно)
– тотальные реабилитации на имплантатах по протоколу all-on-4 и all-on-6
– мягкотканная пластика
– открытый и закрытый синус-лифтинг
– наращивание костной ткани
– реплантация зубов
Для планирования операций в клинике использую цифровой протокол, установка имплантатов проводится с использованием хирургического шаблона.
После окончания БГМУ в 2017 году сразу стал работать на должности стоматолога-хирурга и регулярно продолжаю повышать квалификацию, посещая обучающие мероприятия. В том числе:
– обучающие курсы от представителей имплантационных систем, которые используем в повседневной практике (Straumann, MIS, JD, Dentis);
– школа стоматологической медицины в Берне, курс “The Bernese Concept for the Treatment of Periodontally Compromised Patients and Plastic-Esthetic Periodontal and Peri- Implant Surgery. Treatment of Periimplant Diseases”
Хасанов Ильгизар Шамилевич
Диплом: РФ Государственное бюджетное образовательное учреждение высшего профессионального образования «Башкирский государственный медицинский университет» Министерства здравоохранения Российской Федерации г. Уфа. Квалификация врач-стоматолог. Специальность стоматология. Выдан 23.06.2017. № 100204/0027637
Выписка о прохождении аккредитации специалиста. № 2022.2265872. Специальность стоматология общей практики. Выдано 07.07.2022. Действительна 5 лет
Запись на консультацию
Получите консультацию
Получите консультацию
Получите консультацию
Получить консультацию
Получите консультацию
Получить консультацию
Записаться на приём


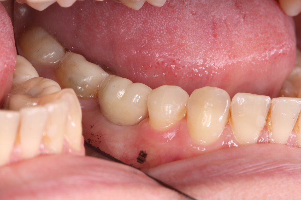
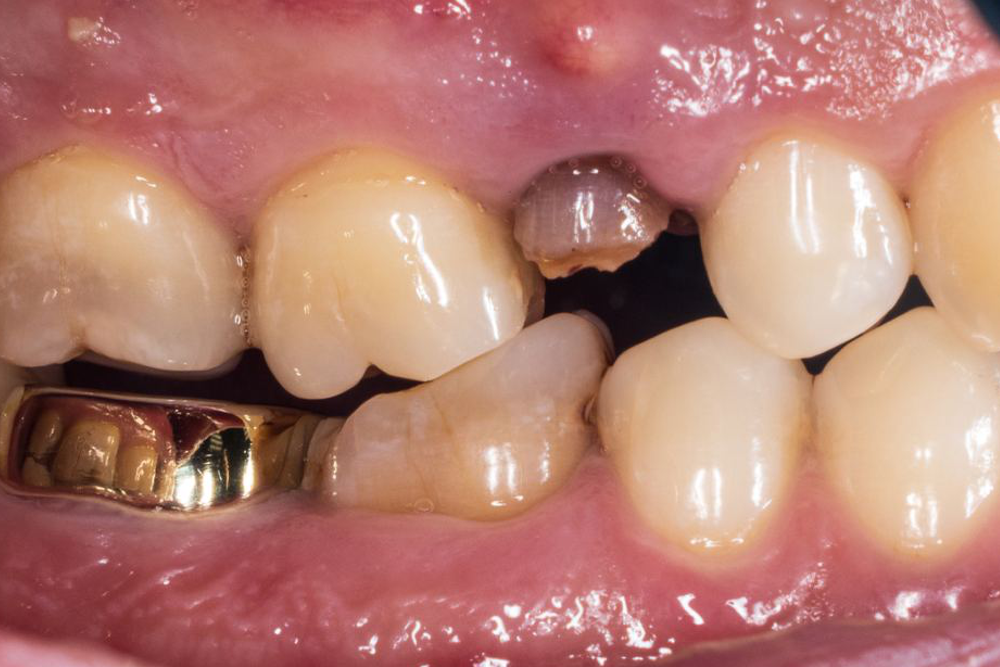
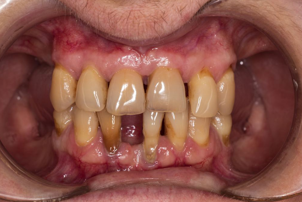
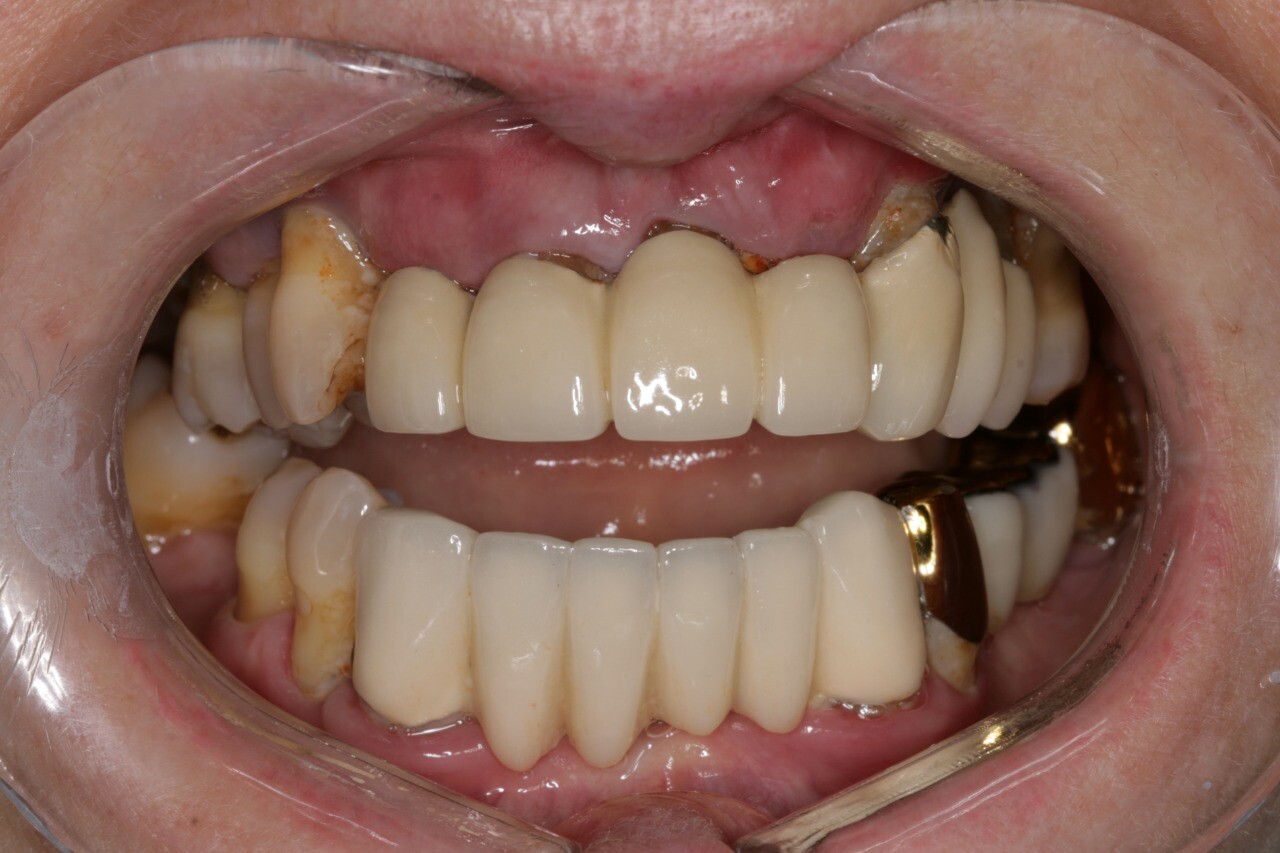
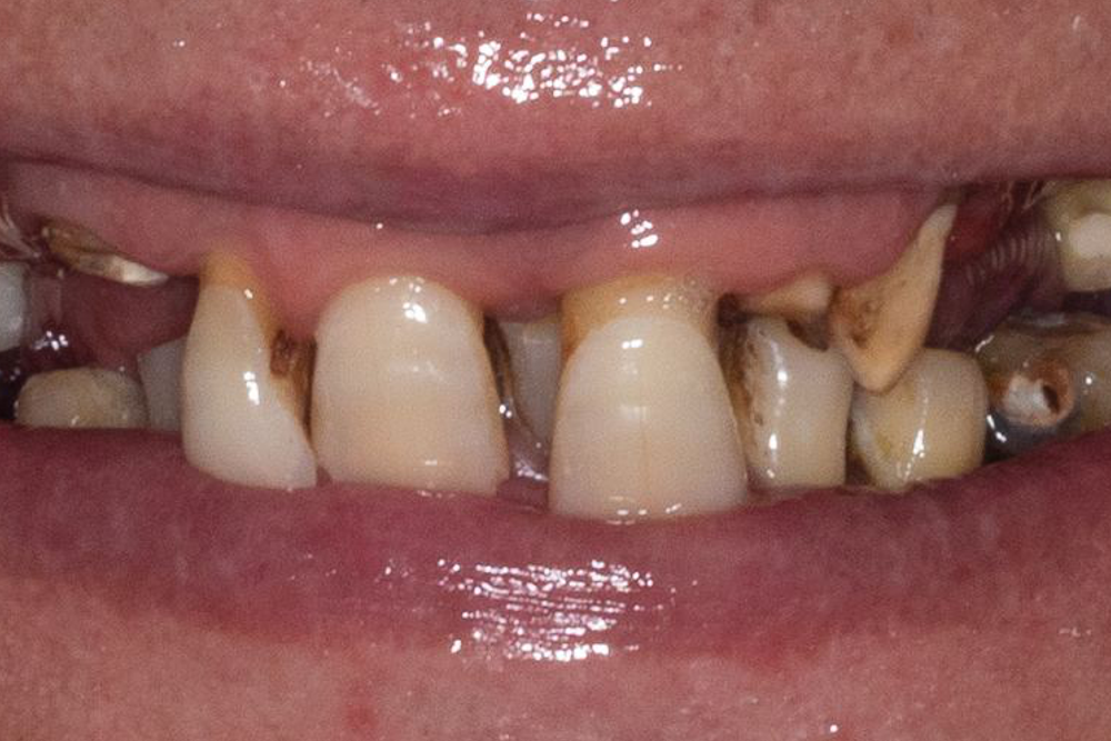
До
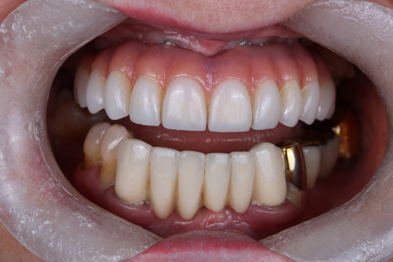
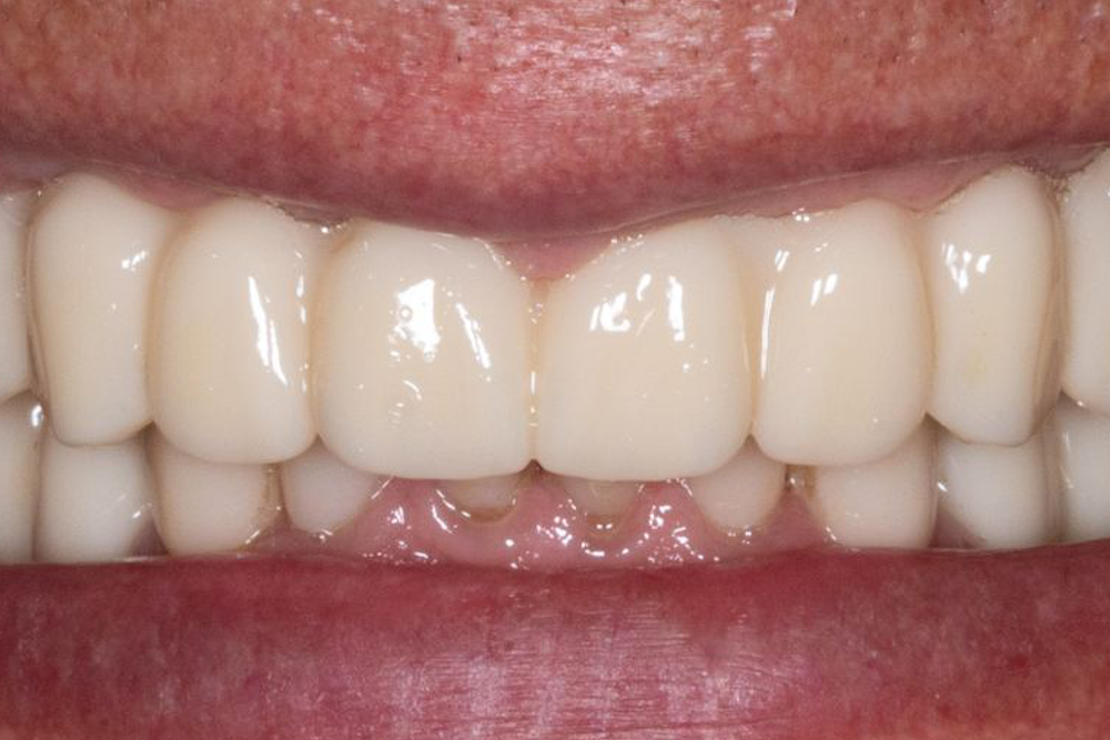
После


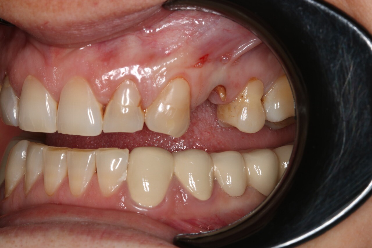
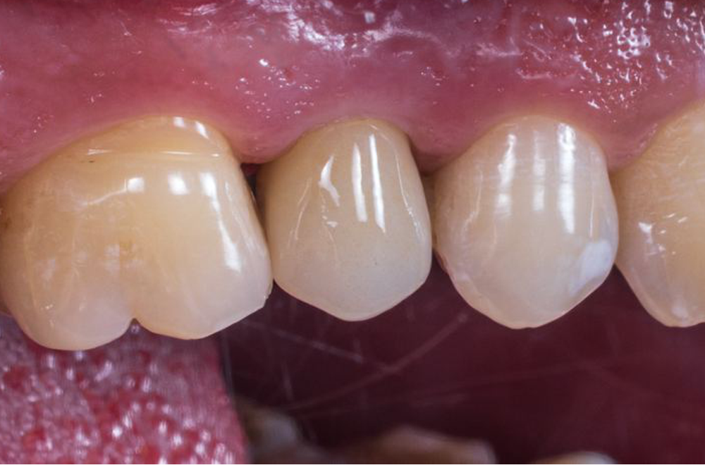
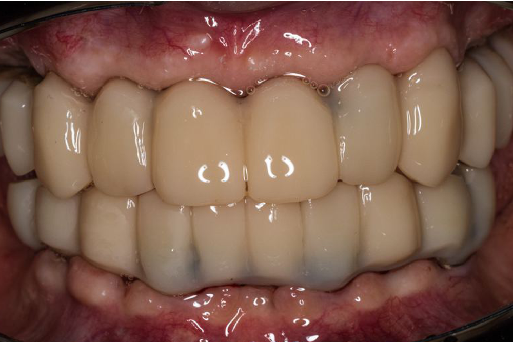
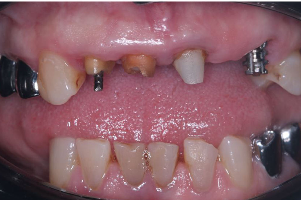
До
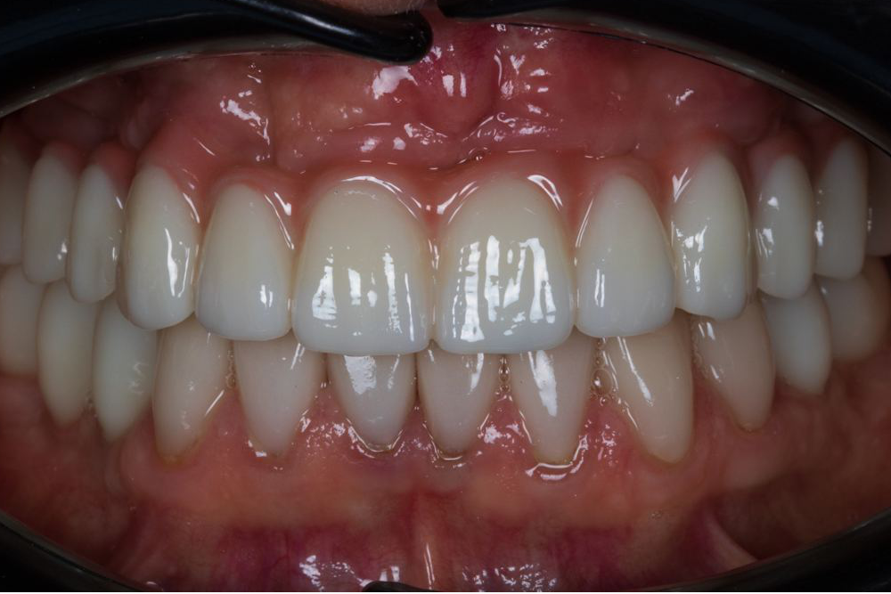
После


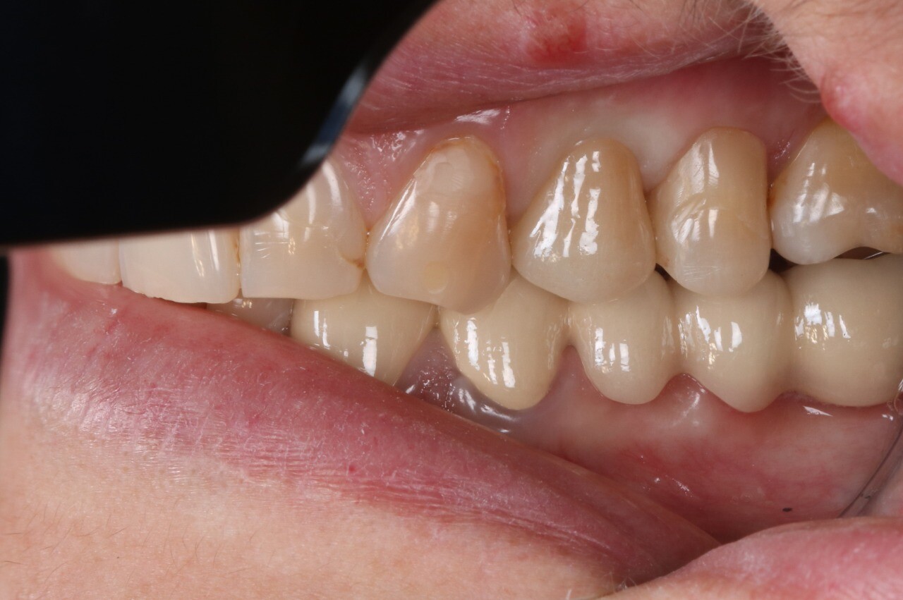
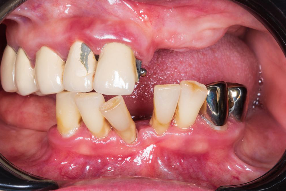
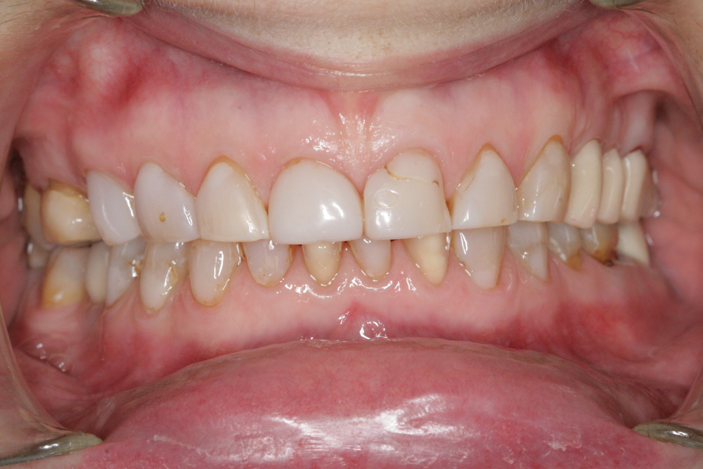
До
После


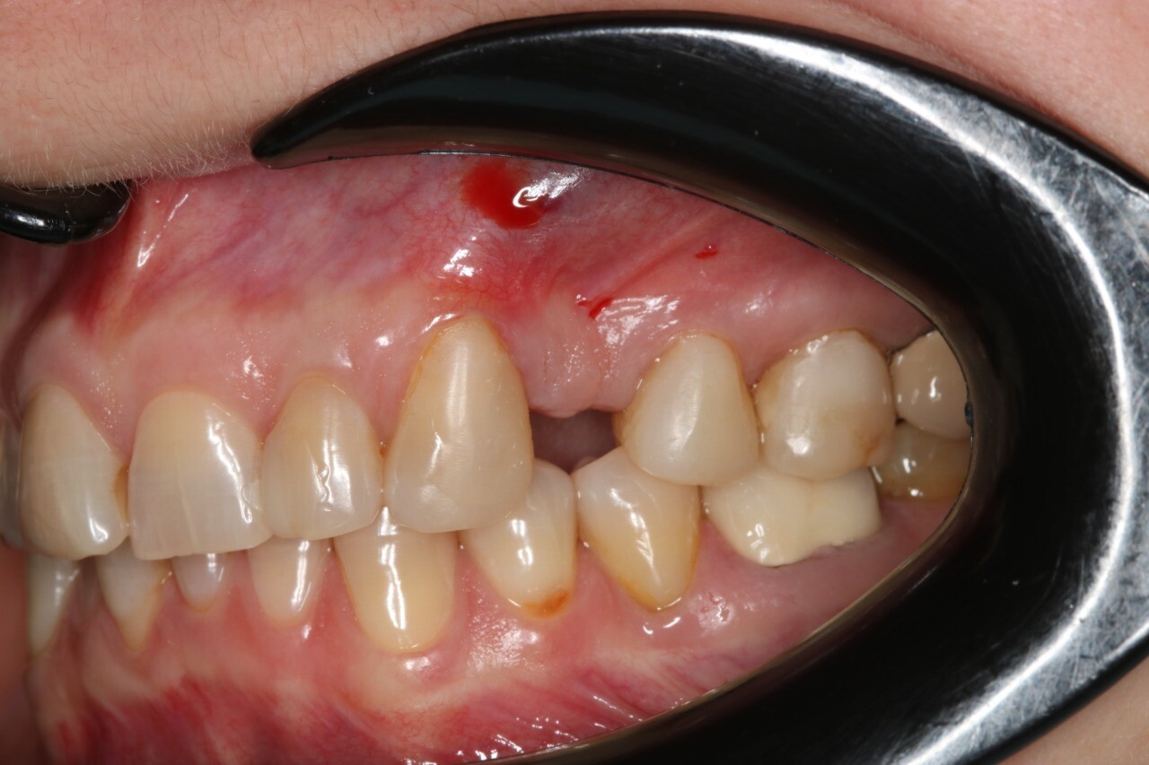
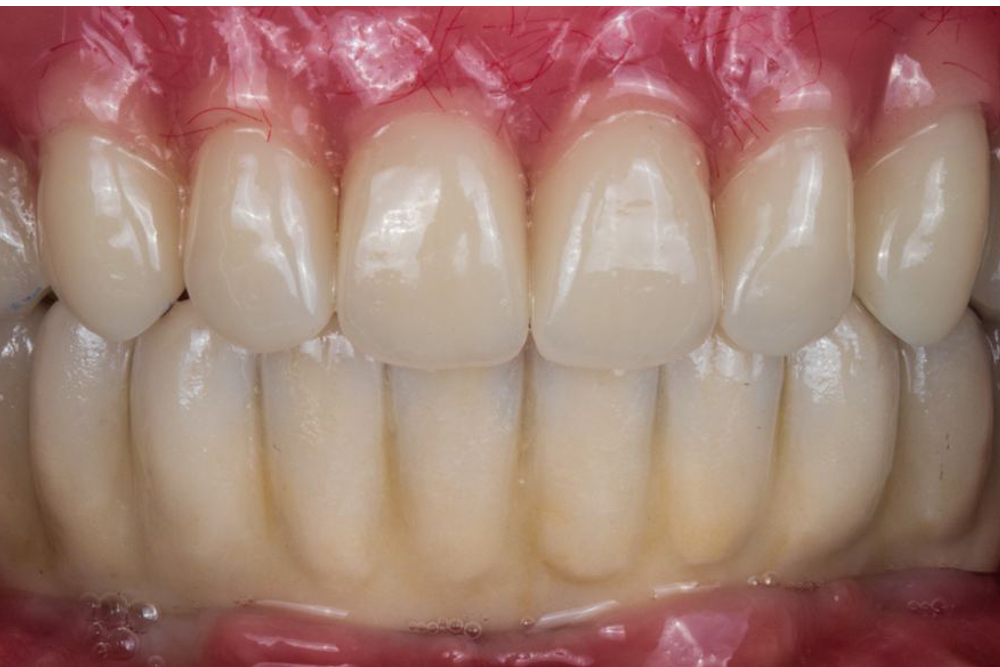
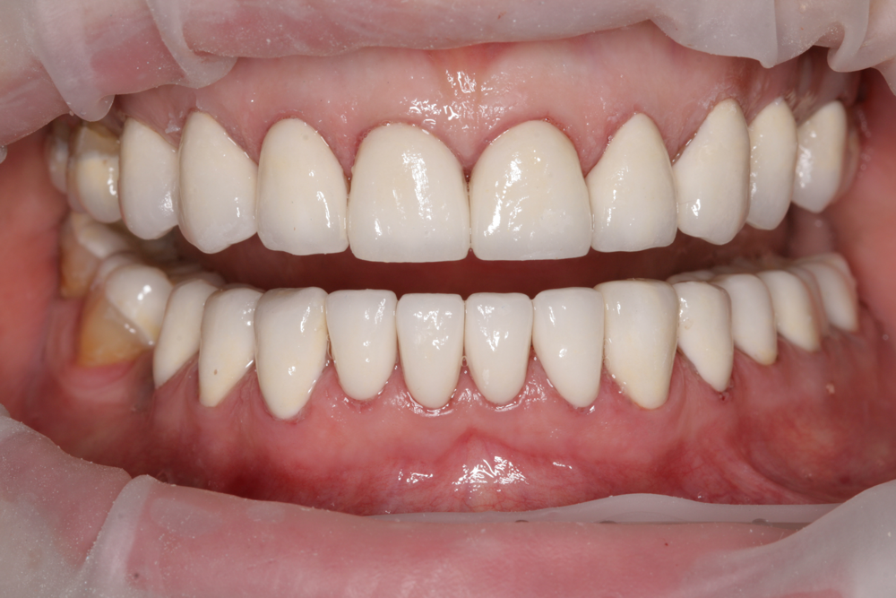
До
После


До
После


До
После
Получить консультацию


До
После


До
После


До
После


До
После


До
После


До
После
Получить консультацию

г. Стерлитамак, ул.Строителей, д.26
ПН-ПТ с 9:00 до 21:00. СБ-ВС с 10:00 до 16:00
Записаться на приём
имплантация зубов стерлитамак
Данный сайт использует Cookie
Редактируемый текст